Porcelain Veneers in Izmir, Turkey
A captivating grin is frequently seen as the secret to making an impression that sticks. For getting that perfect smile, porcelain veneers have become a common cosmetic dentistry treatment. This article looks into the world of porcelain veneers, explaining what they are, how they are applied, what to expect regarding recuperation, how much they cost, and why Turkey is quickly developing into a center for this revolutionary dental surgery.
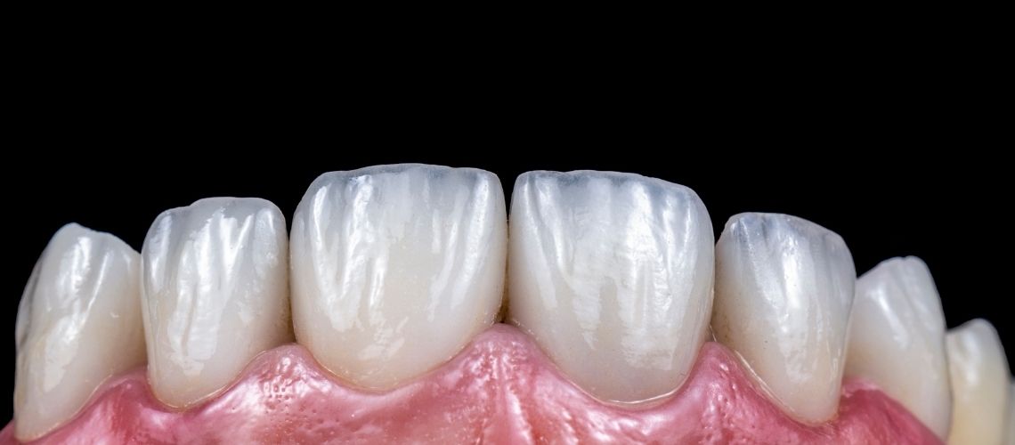
What Are Porcelain Veneers?
Porcelain veneers, sometimes referred to as dental veneers or porcelain laminates, are thin covers made of medical-grade ceramic that are put over the fronts of your teeth. These covers are intended to improve the aesthetics of your teeth by concealing flaws like stains, chipping, gaps, and misalignment. Porcelain veneers are a well-liked option since they offer a long-lasting and natural-looking solution for improving your smile.
The Procedure
The following steps are commonly involved in the porcelain veneers procedure:
- Consultation: Your path to a beautiful smile starts with a meeting with a qualified Turkish dentist. You are able to talk about your worries, objectives, and expectations during this appointment.
- Examination and Preparation: The dentist will analyze your teeth to evaluate whether porcelain veneers are a good option for you. If so, a small portion of the front surface of the teeth’s enamel will be removed to make way for the veneers.
- Impressions: Accurate impressions of your teeth will be taken, which will be the foundation for flawlessly fitted, personalized veneers.
- Temporary Veneers: Temporary veneers may be used to safeguard your prepared teeth while your permanent veneers are being created in a dental laboratory.
- Bonding: Once your porcelain veneers are prepared, dental cement will be used to firmly glue them to your teeth, ensuring a beautiful and natural appearance.
Recovery
After the insertion of porcelain veneers, recovery is normally simple and uncomfortable to a minimum. After the procedure, you could feel a little sensitive for a few days, but this is normally manageable with over-the-counter painkillers. It’s crucial to adhere to the post-operative care recommendations provided by your dentist, which may include avoiding specific foods and practicing proper dental hygiene.
Advantages of Porcelain Veneers in Turkey
There are several convincing reasons why Turkey stands out as a top option for improving your smile when contemplating porcelain veneers:
- Cost Savings: Turkey is recognized for offering top-notch dental services at a fraction of the price you could pay in other nations. Affordable dental treatment does not imply a reduction in quality; rather, it opens up access to a wider spectrum of people. For those looking for cosmetic dental procedures like porcelain veneers, the large cost savings may be very alluring.
- Skilled Dentists: Turkish dentists are highly skilled and educated, frequently possessing foreign credentials. Numerous dental specialists in Turkey have completed their study at respected international institutes. They are knowledgeable about the most recent advancements in cosmetic dentistry, ensuring that patients get the greatest care. Additionally, a sizable portion of Turkish dentists speak English well, making it easier for patients from other countries to communicate with them. This competence not only improves the overall experience but also makes it easier for patients to successfully express their unique wants and concerns.
- Advanced Technology: Turkish dentist offices are at the cutting edge of dental technology. They frequently make investments in cutting-edge technologies and cutting-edge equipment to give patients the most cutting-edge and efficient treatments possible. These developments in technology not only improve the accuracy and effectiveness of the surgeries but also the comfort and healing of the patients. During their porcelain veneer operation in Turkey, patients may feel confident that the most recent diagnostic equipment and treatment methods will be used.
- Tourism Opportunities: Choosing Turkey for your porcelain veneers opens doors to a world of travel possibilities outside of the dental procedure itself. Both its natural beauty and cultural heritage are abundant in Turkey. You can easily combine your dental excursion with trips to iconic locations like Istanbul’s Hagia Sophia and Blue Mosque or Pamukkale and Cappadocia’s breath-taking sceneries. Exploring the different food landscape of the nation is another fascinating experience. All of these factors have the power to transform your dental trip into an unforgettable holiday, enhancing your time in Turkey beyond just your improved smile.
For attaining a stunning, bright smile, porcelain veneers are a great option. With the benefits of lower costs, qualified dentists, cutting-edge technology, and the appeal of tourism prospects, Turkey has emerged as a popular choice for people looking to improve their smiles. If you choose Turkey as your preferred location for porcelain veneers, you’ll not only walk away with a gorgeous smile but also priceless memories of this alluring nation.
Cost of Porcelain Veneers in Turkey
The affordability of porcelain veneers in Turkey is one of their most alluring features. In comparison to many Western nations, Turkey provides affordable rates for top-notch dental care. The amount of veneers required, the difficulty of the case, and the dentist office’s location can all affect the price of porcelain veneers. Patients should anticipate to pay much less on average for veneers in Turkey while getting top-notch care.
F.A.Q
What is the Lifespan of a Porcelain Veneers?
Porcelain veneers typically have a lifespan of 10 to 15 years or more, contingent upon factors like oral hygiene, lifestyle choices, and regular dental check-ups. With proper care, porcelain veneers provide patients with a long-lasting and aesthetically pleasing enhancement to their smiles.
Do Porcelain Veneers Pain?
Getting porcelain veneers is generally a painless process. Minimal tooth reduction is involved, and local anesthesia is commonly used during the procedure. Post-placement, any discomfort is typically minimal and temporary, manageable with over-the-counter pain medications.
Is There Any Serious Problem After Porcelain Veneers?
Serious problems after porcelain veneers are rare. Potential issues may include minor adjustments or repair needs. Adhering to post-placement care instructions, avoiding habits that may damage veneers, and attending regular dental check-ups are crucial in preventing serious problems. Prompt consultation with a dentist can address any emerging issues, ensuring the long-term success of porcelain veneers.
Why Is Porcelain Veneers Cheaper in Turkey?
The cost-effectiveness of porcelain veneers in Turkey is influenced by lower labor costs, operational expenses, and favorable exchange rates. Reputable dental clinics in Turkey offer competitive pricing for porcelain veneers without compromising quality. The affordability makes Turkey an appealing destination for individuals seeking high-quality and cost-effective cosmetic dental enhancements. Choosing accredited clinics with experienced professionals ensures that patients receive affordable porcelain veneers without compromising safety or aesthetics.